沒有極限的三酸甘油脂(密集恐懼症慎入)
最近蠻多朋友做了健檢,也收到了很多健檢紅字的詢問
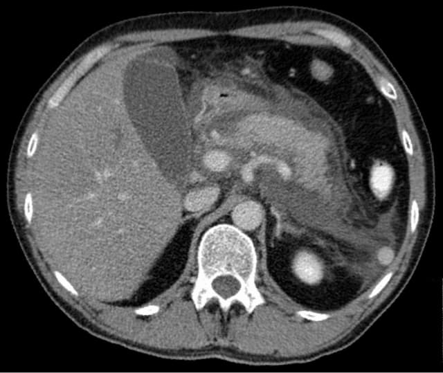
很多是膽固醇過高的問題,但你有沒有注意過,健檢通常也會抽另一項血脂肪指標:三酸甘油脂呢? 標準的三酸甘油脂是小於150mg/dl,如果超過這個數字就可能導致高三酸甘油脂血症和一些臨床症狀: (1) 乳糜血: 極端的高血脂就有可能導致乳糜血症,血液沉澱後白白像煉乳的那一層就是可怕的血脂肪



最近蠻多朋友做了健檢,也收到了很多健檢紅字的詢問
很多是膽固醇過高的問題,但你有沒有注意過,健檢通常也會抽另一項血脂肪指標:三酸甘油脂呢? 標準的三酸甘油脂是小於150mg/dl,如果超過這個數字就可能導致高三酸甘油脂血症和一些臨床症狀: (1) 乳糜血: 極端的高血脂就有可能導致乳糜血症,血液沉澱後白白像煉乳的那一層就是可怕的血脂肪
https://en.wikipedia.org/wiki/Hypertriglyceridemia

Learn about xanthoma. What are causes of eye xanthoma, palmar, tendinous, tuberous and xanthoma disseminatum. How is xanthoma best treated



https://en.wikipedia.org/wiki/Acute_pancreatitis

A 34-year-old woman presented with a 4-year history of progressive skin lesions and 3-month history of weight loss. Physical examination showed a symmetric distribution of clusters of pink-yellow p...

留言
張貼留言